Znajdź lekarza
System Pits21PRO
Rezultaty
Higiena
Blog
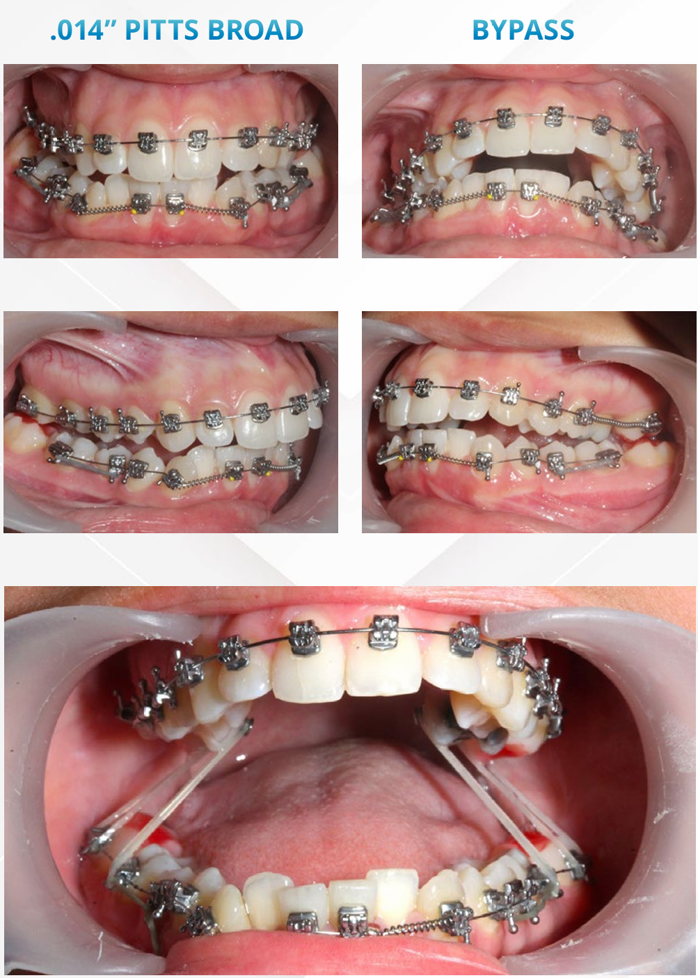
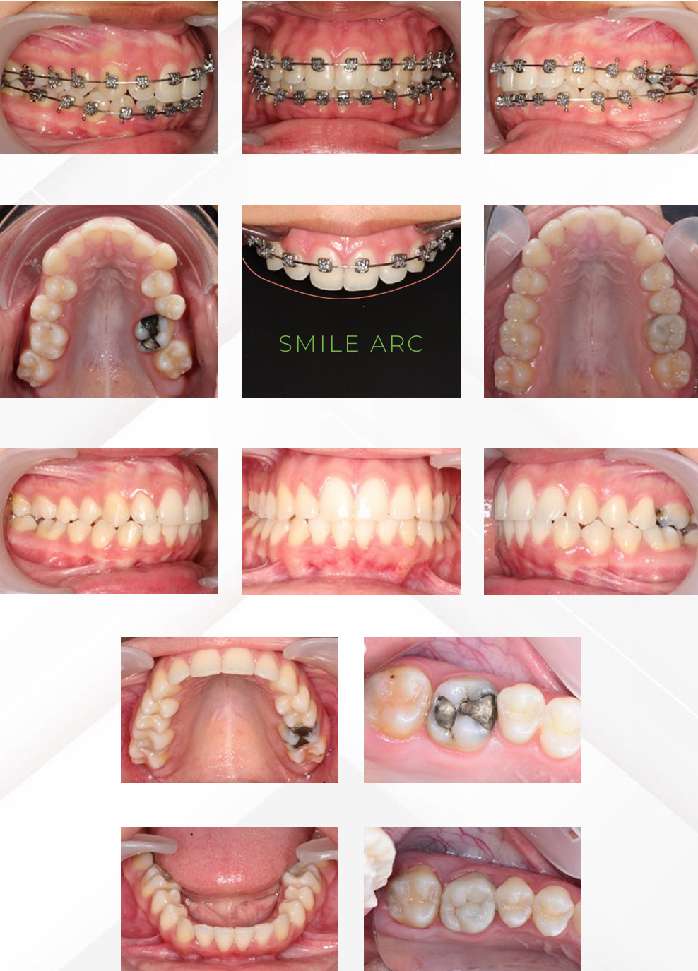
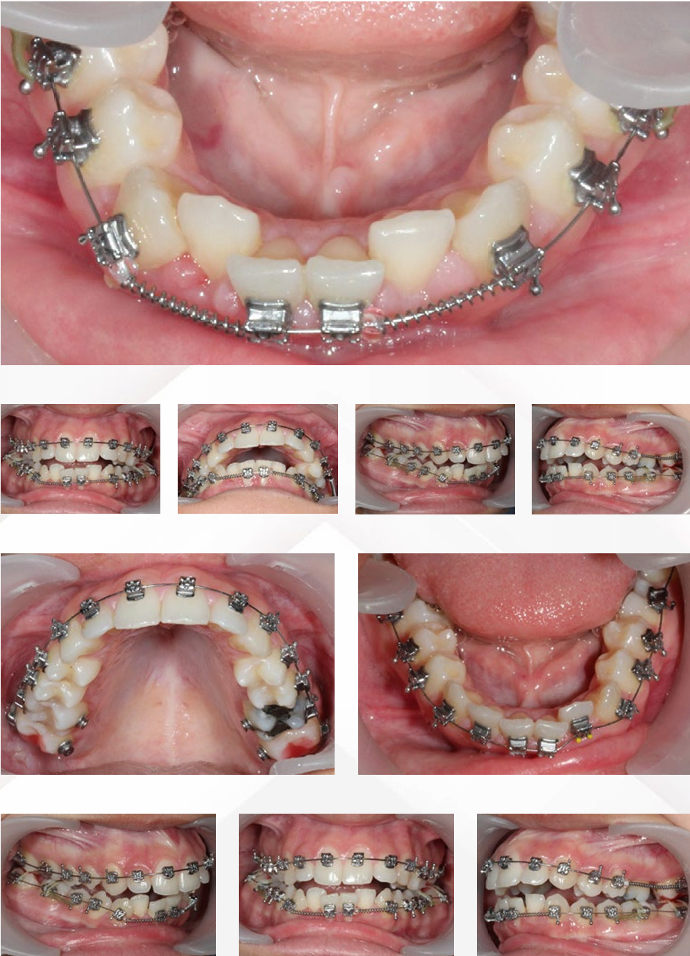
Pacjent 5, Dr Pitts Protocol